Mắc ung thư gan, được tiên lượng chỉ sống thêm vài tháng, người đàn ông Hà Nội làm được điều khó tin
Từng được chuẩn đoán mắc ung thư gan giai đoạn cuối, thời gian sống chỉ tính bằng tháng, người đàn ông Hà Nội đã có hành trình hồi sinh đầy bất ngờ.
- Nấu ăn ở nhà nhưng làm 5 việc sau còn hại hơn gọi đồ ăn sẵn, dễ gây ung thư: Rất nhiều gia đình làm mỗi ngày!
- Bác sĩ Nam khoa cảnh báo: Sùi mào gà ngày càng “phức tạp”, trẻ hay già chớ có chủ quan
- TPHCM: Tình trạng học sinh nghi ngộ độc thực phẩm tại Trường Bình Quới Tây hiện ra sao?
Tại Trung tâm Phẫu thuật Gan mật – Tiêu hóa, Bệnh viện Bệnh Nhiệt đới Trung ương, các bác sĩ vừa tiếp nhận và điều trị cho bệnh nhân N.V.T (trú tại Hà Nội) trong tình trạng ung thư gan tiến triển nặng.
Trước đó, vào tháng 7/2023, bệnh nhân bắt đầu xuất hiện các triệu chứng mơ hồ như mệt mỏi, ăn uống kém, sút cân. Dù cơ thể đã có dấu hiệu bất thường từ trước, người bệnh vẫn chủ quan, cho rằng do làm việc nhiều nên không đi khám.
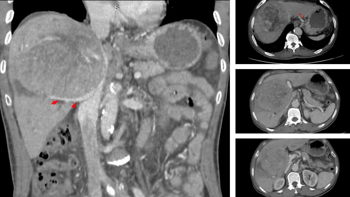
Chỉ đến khi triệu chứng rõ ràng, bệnh nhân mới đi kiểm tra, khối u gan đã phát triển với kích thước khổng lồ từ 10–12 cm. Tại một số cơ sở y tế, ông từng được tiên lượng thời gian sống không quá 9 tháng.

Tháng 7/2023 bệnh nhân có khối u gan kích thước lớn.
Qua khai thác tiền sử, bệnh nhân đã biết mình mắc viêm gan B từ trước. Tuy nhiên, do có giai đoạn virus không hoạt động, ông lầm tưởng bệnh đã ổn định nên bỏ qua việc theo dõi định kỳ. Chính sự chủ quan này đã tạo điều kiện để các tế bào ung thư âm thầm phát triển mà không có biểu hiện rõ ràng.
BSCKII Nguyễn Trường Giang, Phó Giám đốc Trung tâm Phẫu thuật Gan mật – Tiêu hóa (Bệnh viện Bệnh Nhiệt đới Trung ương) cho biết, khi nhập viện, đây là ca bệnh rất nặng. Khối u lớn chiếm gần hết nhu mô gan, chèn ép rốn gan và các mạch máu, gây cổ chướng nhẹ và phù hai chi dưới.
Các bác sĩ đã tiến hành cuộc đại phẫu cắt gan trung tâm kéo dài gần 8 giờ. Tuy nhiên, sau mổ, bệnh nhân gặp biến chứng nặng với rò mật và hẹp tắc đường mật. Việc can thiệp dẫn lưu qua da không đạt hiệu quả như kỳ vọng, trong khi tình trạng nhiễm trùng đường mật diễn tiến nghiêm trọng do vi khuẩn đa kháng thuốc, kèm theo suy gan.
5 tháng sau đó là giai đoạn cam go nhất. Dịch mật rò rỉ kéo dài khiến cơ thể suy kiệt, cân nặng giảm từ 57 kg xuống chỉ còn 38 kg. Người bệnh liên tục sốt cao 39–40 độ, phải điều trị bằng kháng sinh mạnh.
Trong lúc nguy kịch, gia đình từng cho bệnh nhân sử dụng thuốc Nam không rõ nguồn gốc theo mách bảo, dẫn đến biến chứng xuất huyết tiêu hóa, buộc phải cấp cứu khẩn cấp và làm gián đoạn quá trình điều trị.
Không từ bỏ hy vọng, đến tháng 12/2023, khi thể trạng tạm ổn định, các bác sĩ quyết định phẫu thuật lần hai nhằm xử lý triệt để tình trạng rò mật và ổ nhiễm trùng. Trong quá trình điều trị, bệnh nhân tiếp tục phát hiện thêm hai khối u tái phát – diễn biến không hiếm gặp ở ung thư gan giai đoạn muộn.
Bằng sự phối hợp đa chuyên khoa giữa phẫu thuật, can thiệp nút mạch và đốt u cao tần, các tổn thương dần được kiểm soát.

Bệnh nhân (phải) khỏe mạnh chụp ảnh cùng bác sĩ.
Theo bác sĩ Giang, đây là trường hợp điển hình của ung thư gan phát hiện muộn, điều trị kéo dài và nhiều biến chứng, đòi hỏi sự phối hợp chặt chẽ giữa các chuyên ngành. Nếu bệnh nhân được theo dõi và kiểm soát viêm gan B từ sớm, nguy cơ tiến triển thành ung thư gan hoàn toàn có thể được hạn chế.
Sau gần 3 năm kiên cường điều trị, đến nay tình trạng của bệnh nhân đã ổn định, cân nặng phục hồi và các chỉ số ung thư được kiểm soát. Kết quả này là sự tổng hòa của phác đồ điều trị bài bản, ý chí của người bệnh và sự đồng hành của gia đình đã giúp điều khó tin thành sự thật.
Qua trường hợp bệnh nhân T, bác sĩ cảnh báo viêm gan B và ung thư gan thường tiến triển âm thầm, ít triệu chứng rõ ràng. Việc tầm soát định kỳ đóng vai trò then chốt giúp phát hiện sớm và nâng cao hiệu quả điều trị. Người bệnh tuyệt đối không tự ý sử dụng các loại thuốc không rõ nguồn gốc để tránh những biến chứng nguy hiểm, đặc biệt khi bệnh đã ở giai đoạn nặng.
if (Constants.allow3rd) { admicroAD.unit.push(function () { admicroAD.show('admzone56') }) }
if (Constants.allow3rd) { admicroAD.unit.push(function () { admicroAD.show('admzone3381') }) }
