1. Chửa ở vết mổ – biến chứng thai kỳ nguy hiểm
Chửa ở vết mổ (còn gọi là thai làm tổ ở vết mổ cũ) là một dạng thai ngoài tử cung hiếm gặp. Thay vì làm tổ trong buồng tử cung, thai lại làm tổ ở vết sẹo mổ lấy thai cũ trên cơ tử cung. Điều này có thể dẫn đến nhiều biến chứng nguy hiểm cho mẹ bầu.
Nguyên nhân chính xác gây ra tình trạng này vẫn chưa được xác định rõ ràng. Tuy nhiên, một số yếu tố nguy cơ được cho là có liên quan như: tiền sử mổ lấy thai; nạo phá thai nhiều lần; rau cài răng lược ở lần sinh trước; bóc u xơ tử cung và chửa ngoài tử cung… Dù đáng tiếc nhưng tình trạng thai kỳ nói trên tiềm ẩn nhiều rủi ro. Việc giữ lại thai trong trường hợp này có thể dẫn đến các biến chứng nguy hiểm đến tính mạng người mẹ.

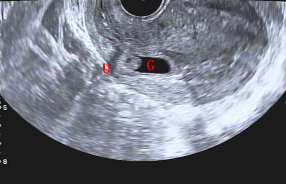
Siêu âm qua ngả âm đạo cho thấy túi thai bám vào vết sẹo tử cung và xâm lấn vào lớp cơ. Ảnh: imrpress
BSNT.CKI Đinh Thị Ngọc Ngân, Trung tâm Hỗ trợ sinh sản, Hệ thống BVĐK Tâm Anh cho biết, thai bám sẹo mổ lấy thai được xếp vào loại biến chứng thai kỳ đặc biệt nguy hiểm, người phụ nữ có thể đối mặt với nhiều hậu quả nặng nề như vỡ tử cung, chảy máu ồ ạt và thậm chí là mất khả năng sinh sản trong tương lai. Bác sĩ Đinh Thị Ngọc Ngân cho biết, số lần phẫu thuật sinh mổ càng nhiều thì nguy cơ người phụ nữ gặp phải biến chứng thai bám sẹo mổ lấy thai càng cao ở những thai kỳ kế tiếp. Do đó, chỉ định mổ lấy thai chỉ được thực hiện khi bác sĩ tiên lượng thai phụ không thể sinh thường qua ngả âm đạo an toàn.
Phụ nữ có tiền sử mổ lấy thai và nghi ngờ mình đang mang thai nên gặp bác sĩ càng sớm càng tốt để thực hiện các kiểm tra chẩn đoán. Việc siêu âm sớm có thể giúp phát hiện thai bám sẹo và xác định vị trí túi thai so với vết sẹo mổ, từ đó lựa chọn phương án điều trị phù hợp, tránh nguy cơ dẫn đến các biến chứng nghiêm trọng.
2. Tầm quan trọng của chế độ ăn với người sau phẫu thuật chửa ở vết mổ

Chế độ ăn uống cân bằng và khoa học giúp người bệnh sớm phục hồi.
Chế độ ăn uống đóng vai trò quan trọng đối với người bị chửa ở vết mổ, đặc biệt là trong giai đoạn phục hồi sau điều trị. Việc cung cấp đầy đủ dinh dưỡng giúp cơ thể tái tạo mô, làm lành vết thương và tăng cường sức đề kháng. Sau các thủ thuật như phẫu thuật hoặc hút thai, cơ thể cần được bù đắp lượng máu đã mất và phục hồi chức năng.
Chế độ ăn giàu protein từ thịt nạc, cá, trứng và các loại đậu giúp vết mổ mau lành và ngăn ngừa nhiễm trùng. Vitamin và khoáng chất từ rau xanh, trái cây tươi không chỉ cung cấp dưỡng chất cần thiết mà còn hỗ trợ quá trình phục hồi. Chất xơ từ ngũ cốc nguyên hạt giúp hệ tiêu hóa hoạt động trơn tru, tránh táo bón. Đồng thời, việc tránh các thực phẩm gây kích ứng như đồ cay nóng, dầu mỡ và các chất kích thích giúp cơ thể không bị quá tải.
Trong quá trình hồi phục, việc bổ sung sắt giúp tái tạo máu, canxi duy trì sức khỏe xương và duy trì cân nặng hợp lý là vô cùng quan trọng. Vì vậy, chế độ ăn uống cân bằng và khoa học không chỉ giúp người bệnh phục hồi nhanh chóng mà còn tăng cường sức khỏe tổng thể, giảm nguy cơ biến chứng sau này.
3. Các dưỡng chất cần thiết với người chửa ở vết mổ

Protein đóng vai trò quan trọng trong việc tái tạo mô và làm lành vết thương.
Đối với người bị chửa ở vết mổ, đặc biệt là sau khi điều trị (phẫu thuật, hút thai), việc bổ sung đầy đủ các dưỡng chất là vô cùng quan trọng để hỗ trợ quá trình phục hồi và đảm bảo sức khỏe. Dưới đây là những dưỡng chất cần thiết nên bổ sung:
Protein: Protein đóng vai trò quan trọng trong việc tái tạo mô và làm lành vết thương. Nguồn protein tốt bao gồm thịt nạc, cá, trứng, sữa, đậu hũ và các loại đậu.
Sắt: Sau khi điều trị, cơ thể thường bị mất một lượng máu nhất định, do đó cần bổ sung sắt để tái tạo hồng cầu. Thực phẩm giàu sắt bao gồm thịt đỏ, gan, rau xanh đậm và các loại đậu.
Canxi: Canxi cần thiết cho sức khỏe xương, đặc biệt quan trọng sau khi trải qua phẫu thuật. Nguồn canxi tốt bao gồm sữa, các sản phẩm từ sữa và rau xanh đậm.
Vitamin và khoáng chất: Vitamin, khoáng chất từ rau xanh, trái cây giúp tăng cường hệ miễn dịch, hỗ trợ quá trình phục hồi, nhất là vitamin C (cam, bưởi, dâu tây) và vitamin nhóm B.
Chất xơ: Chất xơ giúp duy trì hệ tiêu hóa khỏe mạnh và ngăn ngừa táo bón, một vấn đề thường gặp sau phẫu thuật. Nguồn chất xơ tốt bao gồm ngũ cốc nguyên hạt, rau xanh và trái cây.
Nước: Uống đủ nước là rất quan trọng để bù lại lượng nước mất và giúp cơ thể loại bỏ độc tố. Nên uống khoảng 2-3 lít nước mỗi ngày.
4. Tham khảo nguyên tắc dinh dưỡng
4.1. Giai đoạn sau điều trị (phẫu thuật, hút thai)
Giai đoạn đầu (1-2 ngày đầu)
- Ưu tiên thực phẩm lỏng, dễ tiêu: cháo loãng, súp, nước ép trái cây.
- Bổ sung đủ nước để bù lại lượng máu mất.
Giai đoạn hồi phục (những ngày tiếp theo):
- Tăng cường protein: thịt nạc, cá, trứng, sữa, đậu hũ.
- Bổ sung vitamin và khoáng chất: rau xanh, trái cây (cam, bưởi, dâu tây, kiwi).
- Ăn nhiều chất xơ: ngũ cốc nguyên hạt, rau xanh, trái cây.
- Chia nhỏ các bữa ăn.
- Uống đủ nước.
4.2. Thực phẩm cần tránh
Đồ ăn cay nóng, nhiều dầu mỡ; Thực phẩm chế biến sẵn, đồ hộp; Các chất kích thích (cà phê, rượu bia). Hạn chế một số thực phẩm như rau muống do sự tăng sinh collagen quá mức có thể dẫn đến hình thành sẹo lồi, đặc biệt là ở vết mổ. Lòng trắng trứng (chưa nấu chín) do nguy cơ nhiễm khuẩn Salmonella. Đồ nếp khó tiêu hóa có thể gây đầy bụng, khó chịu, ảnh hưởng đến quá trình phục hồi.
Lưu ý, tùy thuộc vào phương pháp điều trị và tình trạng sức khỏe của từng người, nhu cầu dinh dưỡng có thể khác nhau. Hãy tham khảo ý kiến bác sĩ hoặc chuyên gia dinh dưỡng để được tư vấn chế độ ăn uống phù hợp nhất.
Xem thêm:
