Gần đây, cô Tôn ở Vô Tích (Trung Quốc) đã xịt trực tiếp kem chống nắng lên mặt ở cự ly gần trước khi hoạt động ngoài trời để đạt hiệu quả chống nắng nhanh chóng. Chỉ một phút sau, cô xuất hiện các triệu chứng như ho dữ dội, tức ngực và thở khò khè.
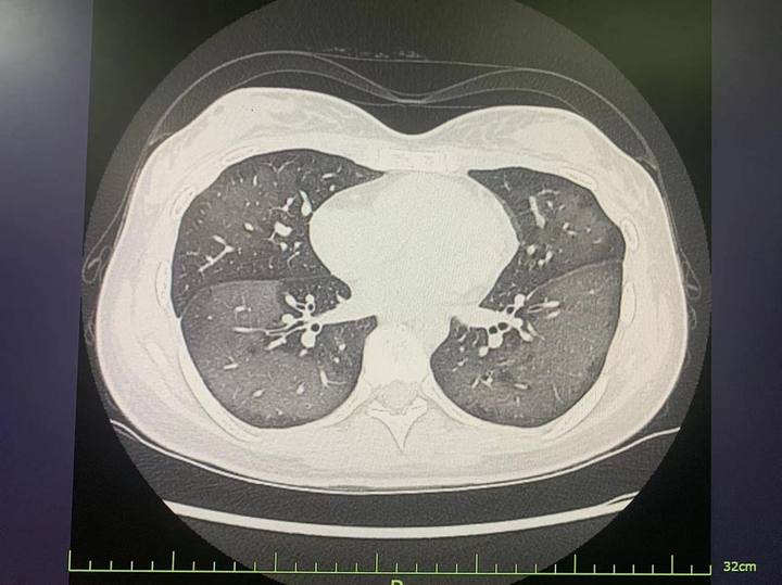
Sau khi nhanh chóng đến bệnh viện, phim chụp CT cho thấy những vùng tổn thương màu trắng lớn ở cả hai phổi và cô được chẩn đoán mắc “viêm phổi hít hóa chất”.

Cô gái đã gặp vấn đề về sức khỏe do sử dụng kem chống nắng dạng xịt không đúng cách
Bác sĩ phân tích rằng các hạt hóa chất trong kem chống nắng đã xâm nhập vào đường thở khi thở, gây ra phản ứng viêm cấp tính, đây là nguyên nhân chính gây bệnh.
Bác sĩ lưu ý rằng ngay cả khi bạn nín thở khi xịt kem chống nắng, vẫn còn rất nhiều hạt lơ lửng trong không khí xung quanh, chúng sẽ được hít vào sau đó.
Bác sĩ cho biết, có hai nguy cơ mất an toàn chính khi sử dụng xịt chống nắng. Đó là nguy cơ hít phải và nguy cơ cháy nổ. Nguy cơ hít phải xuất hiện khi chúng ta dùng xịt chống nắng lên da và có thể vô tình hít phải. So với mỹ phẩm dạng bôi thoa, mỹ phẩm dạng xịt có giọt tương đối nhỏ hơn nên nguy cơ hít phải trong quá trình sử dụng tương đối lớn hơn. Nhất là nếu xịt ở khu vực gần miệng, mũi hoặc há miệng khi xịt. Hoặc xịt chống nắng trong không gian hẹp và kín như ô tô, phòng vệ sinh kín…

Phim chụp CT cho thấy những vùng tổn thương màu trắng lớn ở cả hai phổi
Những hạt bắn từ xịt chống nắng có thể chứa nhiều thành phần mỹ phẩm khác nhau như chất chống nắng, hợp chất hữu cơ dễ bay hơi, nước hoa và chất bảo quản. Chúng an toàn với bề mặt da nhưng nguy hiểm với hệ hô hấp và một vài cơ quan khác trong cơ thể. Có thể gây ra khó chịu nhất thời cho tới nguy hiểm tính mạng. Đặc biệt là với người bị dị ứng, hô hấp kém, trẻ nhỏ.
Tình trạng phổi trắng hay chính là viêm phổi quá mẫn cấp tính do hít phải xịt chống nắng không hề hiếm gặp. Một số thành phần hóa học trong đó có thể kích thích và gây ra một loạt phản ứng dị ứng, dẫn đến khí quản, phế quản lan rộng và thậm chí là phù phổi, khiến phổi không thể hoạt động bình thường. Thậm chí gây nguy hiểm tính mạng do viêm phổi nặng, suy hô hấp…
Nguy cơ thứ hai khi dùng xịt chống nắng là rủi ro dễ cháy nổ. Vì chất đẩy được sử dụng trong các sản phẩm bình xịt có thể là những chất dễ cháy như butan và propan. Đồng thời ở trạng thái hóa lỏng áp suất cao nên có thể dễ dàng xảy ra tai nạn cháy nổ khi gặp nguồn lửa.
Khi sử dụng kem chống nắng dạng xịt vào mùa hè, tránh xịt trực tiếp lên mặt, giữ khoảng cách 15-20cm khi sử dụng và nín thở khi xịt để tránh hít trực tiếp.
Ngoài ra, không xịt trực tiếp lên mặt, đặc biệt tránh các vùng da nhạy cảm như mắt, miệng, mũi; bạn có thể xịt sản phẩm chống nắng ra lòng bàn tay trước, sau đó thoa đều lên mặt. Nếu nếu xuất hiện các triệu chứng như ho, tức ngực, khó thở sau khi sử dụng xịt chống nắng, nên đi khám ngay và thông báo với bác sĩ về việc đã sử dụng sản phẩm này để được chẩn đoán và điều trị kịp thời.
Nguồn và ảnh: Weibo
