Nhược điểm của trồng răng Implant: Liệu Implant có thực sự hoàn hảo?

5 mins read
Nhược điểm của trồng răng Implant: Liệu Implant có thực sự hoàn hảo?
Nhược điểm của trồng răng Implant: Liệu Implant có thực sự hoàn hảo?- Ảnh 1.

Nhược điểm của trồng răng Implant

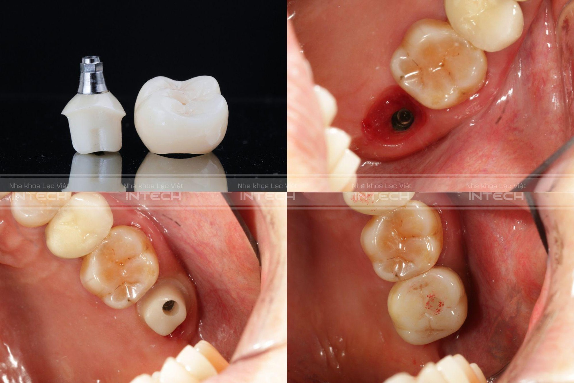
Trồng răng Implant là giải pháp tối ưu khi mất răng, nhưng không có nghĩa là “hoàn hảo tuyệt đối”. Theo bác sĩ Hoàng Vũ Hiệp – Nha khoa Lạc Việt Intech , một số nhược điểm trồng răng Implant có thể kể đến như:

Thứ nhất, chính là chi phí. So với cầu răng hay hàm tháo lắp, implant đòi hỏi mức đầu tư cao hơn, do liên quan đến chất liệu trụ titanium, mão sứ, abutment cũng như hệ thống máy móc chẩn đoán hiện đại.

Thứ hai, yêu cầu điều kiện sức khỏe và xương hàm ổn định, tức là không phải ai cũng có thể thực hiện ngay. Những trường hợp xương hàm tiêu nhiều, bệnh nhân tiểu đường không kiểm soát hay hút thuốc lá nhiều đều cần được thăm khám kỹ lưỡng trước khi quyết định.

Thứ ba, về thời gian điều trị. Implant cần có thời gian để tích hợp với xương hàm. Thời gian tích hợp xương thông thường dao động khoảng 2,5-3 tháng. Tuy nhiên, ở một số trường hợp, đặc biệt khi xương hàm bị tiêu hoặc mỏng, sẽ phải thực hiện các kỹ thuật bổ sung thì quá trình ghép xương thường mất thêm vài tháng để xương lành và ổn định, kéo dài tổng thời gian điều trị lên 4-6 tháng hoặc lâu hơn, tùy cơ địa từng người.

Nhược điểm của trồng răng Implant: Liệu Implant có thực sự hoàn hảo?- Ảnh 2.

Tuân thủ đúng lộ trình trồng răng Implant để hạn chế nhược điểm. (Nguồn: Lacvietintech)

Nhìn chung, thời gian điều trị dài không phải là vấn đề về hiệu quả, mà là yếu tố cần chuẩn bị tâm lý và quản lý kỳ vọng. Bệnh nhân hiểu rõ điều này sẽ giảm áp lực, hạn chế lo lắng, và đảm bảo kết quả implant ổn định, bền lâu. Và để có một kết quả bền vững thì việc chúng ta chờ đợi một chút thời gian cũng hoàn toàn xứng đáng.

Thứ tư, tiềm ẩn rủi ro. Cũng giống như mọi thủ thuật y khoa khác, implant cũng sẽ tiềm ẩn một tỷ lệ biến chứng nhất định.Trồng răng Implant có thể gây nên biến chứng sớm và muộn.

Ở giai đoạn sớm, bệnh nhân có thể đối mặt với xâm phạm ống dây thần kinh răng dưới, nhiễm trùng hoặc chảy máu kéo dài nếu thao tác đặt trụ không chính xác hoặc điều kiện vô trùng không đảm bảo.

Còn ở giai đoạn muộn, biến chứng thường gặp nhất là viêm quanh implant, dẫn tới tiêu xương dần theo thời gian.

Nguyên nhân gây biến chứng có thể xuất phát từ nhiều yếu tố: bác sĩ đặt trụ sai hướng, thiếu công nghệ chẩn đoán và hỗ trợ phẫu thuật, vật liệu kém chất lượng, hoặc đơn giản là bệnh nhân chăm sóc răng miệng chưa đúng cách.

Giải pháp hạn chế nhược điểm của trồng răng Implant

Hầu hết các nhược điểm trên đều có thể phòng ngừa nếu được kiểm soát chặt chẽ. Theo bác sĩ Hoàng Vũ Hiệp, để đạt được kết quả bền vững, cả nha khoa và bệnh nhân đều cần phối hợp chặt chẽ.

Về phía nha khoa, yếu tố quyết định nằm ở công nghệ, vật liệu, bác sĩ và quy trình điều trị. Việc ứng dụng các công nghệ hiện đại như máng hướng dẫn phẫu thuật hay robot định vị X-Guide cho phép bác sĩ kiểm soát chính xác vị trí, hướng và độ sâu đặt trụ, hạn chế tối đa sai lệch so với kế hoạch điều trị.

Nhược điểm của trồng răng Implant: Liệu Implant có thực sự hoàn hảo?- Ảnh 3.

Máng hướng dẫn phẫu thuật implant giúp bác sĩ kiểm soát chính xác vị trí, hướng và độ sâu đặt trụ theo đúng kế hoạch điều trị.

Cùng với đó, bác sĩ điều trị kinh nghiệm, vật liệu implant chính hãng không chỉ đảm bảo độ an toàn trong phẫu thuật mà còn góp phần kéo dài tuổi thọ của implant.

Về phía bệnh nhân, thói quen chăm sóc và sự hợp tác trong quá trình điều trị là yếu tố then chốt. Việc duy trì vệ sinh răng miệng đúng cách, tái khám định kỳ để bác sĩ theo dõi quá trình tích hợp xương và lựa chọn cơ sở uy tín ngay từ đầu sẽ giúp hạn chế rủi ro viêm nhiễm, đồng thời duy trì sự ổn định của trụ implant trong suốt nhiều năm.

Và khi cả hai yếu tố này kết hợp hài hòa, trồng răng implant không chỉ khắc phục được phần lớn nhược điểm vốn có mà còn mang lại kết quả an toàn, bền vững, thẩm mỹ.

Latest from Blog