Một đứa trẻ đang vui chơi, khỏe mạnh, bỗng đột ngột khó thở, tím tái, đau ngực rồi được chẩn đoán suy tim cấp — đây không phải là chuyện hiếm trong các ca viêm cơ tim tự miễn (immune-mediated myocarditis). Dạng bệnh hiếm gặp này khiến hệ miễn dịch nhầm lẫn, tấn công chính các tế bào cơ tim, dẫn đến tổn thương nặng nề và nguy cơ tử vong nếu không được phát hiện, điều trị kịp thời.
Khi hệ miễn dịch tấn công trái tim
Viêm cơ tim tự miễn xảy ra khi hệ miễn dịch — vốn có nhiệm vụ bảo vệ cơ thể — lại quay sang tấn công nhầm mô tim. Nguyên nhân có thể liên quan đến di truyền, đáp ứng miễn dịch sau nhiễm virus hoặc trong bối cảnh rối loạn tự miễn khác. Ở một số trường hợp, phản ứng miễn dịch bùng phát dữ dội khiến cơ tim viêm lan tỏa, giảm khả năng co bóp, dẫn đến suy tim cấp hoặc rối loạn nhịp tim nguy hiểm.
Điều đáng nói, nhiều trẻ ban đầu hoàn toàn khỏe mạnh. Chỉ sau vài ngày sốt nhẹ, cảm cúm hoặc nhiễm siêu vi, các dấu hiệu bất thường mới xuất hiện: mệt nhanh, thở gấp, môi tím, đau ngực hoặc ngất. Một số trường hợp nhập viện muộn khi tim đã suy nặng, phải can thiệp hồi sức tích cực hoặc hỗ trợ tim phổi nhân tạo (ECMO).

Trẻ bị viêm cơ tim tự miễn cần được phát hiện sớm để ngăn ngừa biến chứng suy tim cấp.
Dấu hiệu cảnh báo không nên bỏ qua
Viêm cơ tim tự miễn ở trẻ có biểu hiện khá giống các bệnh lý hô hấp thông thường, khiến nhiều phụ huynh dễ chủ quan. Tuy nhiên, các bác sĩ cảnh báo nếu trẻ có các dấu hiệu sau, cần được khám chuyên khoa tim mạch ngay:
- Mệt mỏi kéo dài, kém ăn, thở nhanh, hoặc than đau ngực.
- Tim đập nhanh, không đều, đôi khi kèm ngất xỉu.
- Có biểu hiện phù nhẹ, gan to, hoặc môi, đầu chi tím.
- Khi kiểm tra, men tim (troponin) tăng cao, siêu âm tim cho thấy rối loạn co bóp thất trái.
- Trong những ca nặng, bệnh tiến triển rất nhanh, có thể gây sốc tim, loạn nhịp thất hoặc ngừng tim đột ngột.
Cận lâm sàng: “bản đồ” xác định bệnh
Để chẩn đoán chính xác, bác sĩ sẽ kết hợp nhiều phương pháp:
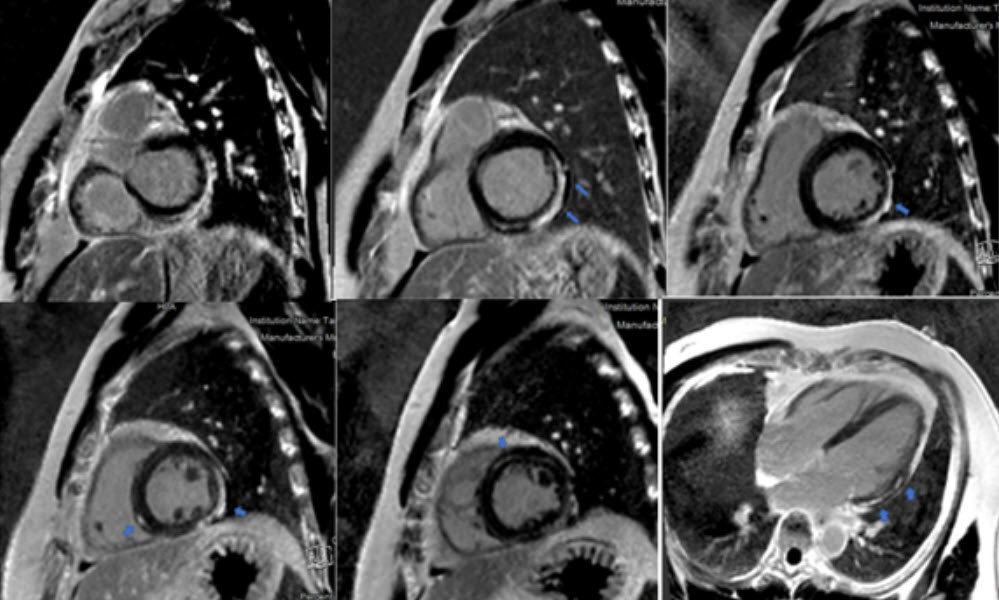
Chụp cộng hưởng từ tim (MRI) giúp phát hiện vùng viêm, phù hoặc hoại tử cơ tim — phương pháp không xâm lấn nhưng rất giá trị trong đánh giá mức độ tổn thương.
Sinh thiết cơ tim (endomyocardial biopsy) là bước quan trọng giúp phân biệt giữa viêm cơ tim do virus và viêm cơ tim tự miễn. Mẫu mô được quan sát dưới kính hiển vi để xác định loại tế bào viêm, mức độ hoại tử và đánh giá xem có nhiễm virus đang hoạt động hay không.
Một số trường hợp còn cần xét nghiệm gen hoặc kháng thể tự miễn để xác định cơ chế bệnh.
Chẩn đoán chính xác là yếu tố quyết định hướng điều trị, bởi viêm cơ tim do miễn dịch cần cách tiếp cận khác hoàn toàn so với dạng do nhiễm trùng.

Hình ảnh MRI tim cho thấy vùng cơ tim bị viêm và tổn thương do phản ứng miễn dịch.
Điều trị cân bằng giữa miễn dịch và bảo tồn tim
Điều trị viêm cơ tim tự miễn ở trẻ em là cuộc đua với thời gian. Khi đã xác định nguyên nhân không do virus hoạt động, bác sĩ có thể chỉ định liệu pháp ức chế miễn dịch nhằm ngăn hệ miễn dịch tiếp tục phá hủy cơ tim.
Corticosteroid liều cao thường là lựa chọn đầu tiên, giúp giảm viêm nhanh.
Trong trường hợp nặng hoặc kháng trị, có thể phối hợp azathioprine, mycophenolate mofetil, tacrolimus hoặc thuốc sinh học như rituximab.
Globulin miễn dịch truyền tĩnh mạch (IVIG) cũng được sử dụng ở trẻ em để trung hòa phản ứng miễn dịch quá mức, đồng thời hỗ trợ phục hồi chức năng cơ tim.
Song song đó, trẻ được điều trị triệu chứng bằng thuốc giãn mạch, lợi tiểu, hỗ trợ tim mạch, kết hợp nghỉ ngơi tuyệt đối trong giai đoạn cấp. Với những trường hợp suy tim nặng, ECMO (tim-phổi nhân tạo) hoặc thiết bị hỗ trợ thất (VAD) có thể cứu sống và duy trì chức năng cơ quan trong thời gian hồi phục.
Theo dõi lâu dài để bảo vệ trái tim sau bão miễn dịch
Sau giai đoạn cấp, trẻ cần được theo dõi định kỳ bởi bác sĩ tim mạch nhi ít nhất 6–12 tháng, thậm chí lâu hơn. Siêu âm tim, điện tim và xét nghiệm men tim giúp kiểm tra khả năng phục hồi của cơ tim. Một số trẻ có thể hồi phục hoàn toàn, nhưng cũng có trường hợp tiến triển thành suy tim mạn tính, rối loạn nhịp kéo dài hoặc cần ghép tim.
Dinh dưỡng cân đối, nghỉ ngơi hợp lý và tránh nhiễm trùng là yếu tố hỗ trợ quan trọng. Khi sử dụng thuốc ức chế miễn dịch lâu dài, cần kiểm soát nguy cơ nhiễm khuẩn và tuân thủ tiêm chủng theo hướng dẫn của bác sĩ.
Hy vọng từ các tiến bộ y học
Trước đây, tỷ lệ tử vong của trẻ mắc viêm cơ tim tự miễn rất cao. Tuy nhiên, nhờ công nghệ chẩn đoán hình ảnh, sinh thiết sớm và liệu pháp miễn dịch chuyên biệt, tỷ lệ hồi phục đã tăng rõ rệt. Nhiều trẻ từng suy tim nặng đã có thể trở lại cuộc sống bình thường sau điều trị và phục hồi chức năng tim.
Các trung tâm tim mạch nhi hiện nay cũng đẩy mạnh nghiên cứu sinh học phân tử, tìm hiểu cơ chế tự miễn và phản ứng gen đặc thù, mở ra hướng cá thể hóa điều trị trong tương lai.
Thông điệp cho các bậc cha mẹ
Viêm cơ tim tự miễn là bệnh hiếm nhưng cực kỳ nguy hiểm. Vì vậy, khi trẻ có biểu hiện bất thường về tim mạch như mệt nhanh, thở dốc, đánh trống ngực, tím tái hoặc ngất, phụ huynh cần đưa trẻ đến cơ sở y tế chuyên khoa để được chẩn đoán và xử trí sớm.
Điều quan trọng nhất là không chủ quan với các dấu hiệu nhỏ – bởi đôi khi, chỉ trong vài giờ, trái tim khỏe mạnh có thể trở nên yếu ớt đến mức không còn đủ sức bơm máu nuôi cơ thể. Nhận diện sớm, điều trị kịp thời và theo dõi đúng cách chính là chìa khóa giúp bảo vệ trái tim của trẻ khỏi căn bệnh tự miễn nguy hiểm này.
BS. Hải Hà